Foto z otevřených zdrojů
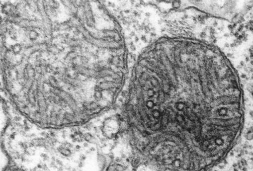
Studium procesu stárnutí živých organismů a metod jeho řízení je jedním z hlavních směrů moderní lékařský výzkum. Koneckonců, právě v této oblasti leží odpovědi na důležité otázky, jako je snížení nemocnosti a zvýšení délka lidského života. Zdá se, že vědci stále podařilo jít o krok blíž k vyřešení tohoto neuvěřitelně obtížný úkol. Společný projekt University of South Wales (UNSW) v Sydney a Harvard Medical School to již prokázaly obrácení procesu stárnutí je možné v těle laboratorních myší. Vědci doufají, že začnou klinická hodnocení jejich metodologie lidé již v roce 2014. Zdá se, že budoucnost medicíny již není hory. Vědci dokázali zvrátit proces stárnutí myší obnovením spojení mezi mitochondriemi a buňkami jádro. Mitochondrie je druh bateriového článku, který je zdroj chemické energie potřebné pro klíč biologické funkce. Kdy je spojení mezi mitochondrií a jádrem buňky jsou rozbité, proces stárnutí je urychlen. Výzkum tým vedený Davidem Sinclairem, profesorem na UNSW, zjistili, že obnovení tohoto důležitého intracelulárního spojení, proces stárnutí může nejen zpomalit, ale také zvrátit. Tohle technika umožní léčit rakovinu, diabetes druhého typ, svalová atrofie, zánětlivá i mitochondriální nemoci, které zahrnují syndrom chronické únavy, selhání jater, mnoho syndromů kvůli mutace genů atd. Tomuto vědeckému průlomu předcházelo předchozí studium tohoto týmu, během kterého zjistil, že pravidelné cvičení a jisté dieta, například, jíst potraviny obsahující látku resveratrol (nachází se v červeném víně a ořechech), povolit zpomalit rozklad intracelulárních vazeb a v důsledku toho snížit rychlost stárnutí těla.
Fotografie z otevřených zdrojů Obnovte intracelulární komunikaci tvrdý koenzym pomáhá nikotinamid adenin dinukleotid (NAD) přítomný ve všech živých organizmech buňky. Zvyšování koncentrace tohoto koenzymu uvnitř buňky zavedením speciální produkce NAD spojení, můžete dosáhnout významného zrychlení obnovy životně důležité vazby mezi jádrem a mitochondrií. „Pro nás to bylo skutečný šok, když jsme viděli, jak rychle to všechno se stane, – podíly lékařů a spoluautorů projektu s reportéry Nigel Turner – Pokud u dospělých zvyšujete hladinu NAD myší, pak za týden budou její svaly zcela nerozeznatelné svaly mladších a silnějších příbuzných. ” vědci se během jednoho týdne naučili četné experimenty omlaďte laboratorní myši ve věku dvou let šest měsíců. Jinými slovy, díky tomuto objevu jsou jakékoli 60letý člověk může být omlazen do stavu 20letého. Proces samozřejmě ještě není ideální a dosud nebyl plně prozkoumán, ale výsledky, kterých bylo dosaženo za použití konvenčních myší jako příkladu docela působivé. Vědci se také pokusili přihlásit technika ve vztahu ke zdravým a mladým myším. Ukázalo se, že “mladý” pod vlivem NAD se stal nesmírně energetickým a neuvěřitelně aktivní. Je možné, že tato technika bude platí nejen pro staré a nemocné lidi, ale také vhodný pro ty, jejichž život úzce souvisí s obtížnými fyzická práce. “Naším nejdůležitějším objevem byla skutečnost.” HIF-1 prvek zodpovědný za vývoj mnoha forem rakovina, se také začíná rozvíjet v roce 2006 tělo během stárnutí, “říká jeden z vědců. – Nyní víme s jistotou, že fyziologie rakoviny v jistém smyslu podobné fyziologii stárnutí. To vysvětluje, že jeden z největší rizikové faktory rakoviny Je věk. “V současné době vědci pozorně sledují pro experimentální myši, které prošly procesem omlazení. Koneckonců, je velmi důležité, aby tato technika nezpůsobila žádné chyby a ne vykazovaly vážné vedlejší účinky. Pokud s myší všechno bude v pořadí, vědci plánují zahájit klinická hodnocení lidé již na konci roku 2014. Na základě gizmag.com
Život
