Foto z otevřených zdrojů
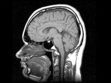
Vědci Novosibirsku vyvinuli lék, který vyrábí lidský mozek produkovat kmenové buňky nezbytné pro zotavení nemocných orgánů. “Droga se týká.” regenerativní a nemá na světě žádné analogy. Začínáme tento rok klinické studie, preklinické studie, které jsme dokončili, “- řekl předseda představenstva a spolumajitel společnosti, kdo vyvinul lék, Andrei Artamonov. Podle něj droga způsobuje, že dospělý mozek produkuje nový kmenové buňky, které později najdou poškozený orgán a obnovit to. „U dětí mozek aktivně vytváří kmen buňky, protože dítě roste. A mozek dospělého schopen je produkovat, jen to nechce dělat – pro něj není třeba. Náš lék stimuluje produkci vlastního kmene buňky, “vysvětlil Artamonov. Podle něj všechny operace s kmenové buňky jsou nyní produkovány mimo lidské tělo, které s tím souvisí určité riziko může se zahájit modifikovaná, uměle pěstovaná buňka komunikovat na neočekávaném místě. Buňky lze zadat, ale to vždy riziko, protože není úplně jasné, kde jsou rozlišit. I když jsou vaše, jsou propagovány mimo vaši organismus. Vlastní kmenové buňky tam nemohou selhat rozlišit. Najdou poškozený orgán a začnou to obnovit tělo, “dodal Artamonov. Klinické zkoušky droga vydrží rok a půl, hlásí Interfax.
