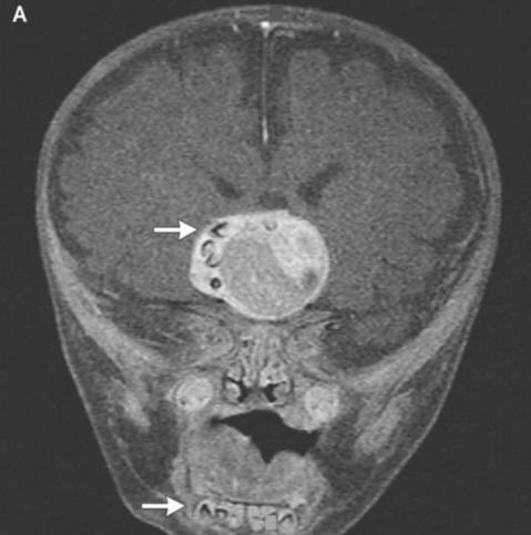
Chirurgové z amerického státu Maryland museli jeden utratit nejtěžších operací ve své praxi. Čtyřměsíční rodiče chlapci vydali poplach a poté šli k doktorům všimli si, že hlava jejich dítěte roste příliš rychle. Lékaři provedl sken a zjistil, že v mozku pacienta vyrostl zub.
Foto z otevřených zdrojů Jak chirurgové vysvětlili vystrašeným rodičům a onkologové to bylo způsobeno tvorbou vzácného vrozeného tumory – kraniofaryngiomy, píše New England Journal of Medicine. Tento novotvar ve velké většině případů benigní však může růst na velikost míče golf a způsobuje pokles čichu, zhoršeného sluchu a zraku, a také zvyšuje intrakraniální tlak. Výzkumníci vždy podezření, že tyto nádory, které se objevují u dítěte již v r těhotenství, vytvořené ze stejných buněk jako zuby, protože zjistili velké hromadění vápníku, ale skutečně vytvořený zub před tímto případem, který nemohou najít započítal.
Chirurgové úspěšně odstranili fotografii z otevřených zdrojů The tumor, chlapec, říkali, si vede dobře. To je ale zub vyrostl ve své hypofýze, ale narušil mozek, zejména, správná produkce hormonů – pacient je bude muset vzít dříve konec života. Tento případ se může právem pyšnit místem seznam nejpodivnějších operací prováděných onkology. Mezitím v roce mladý muž z Íránu, který musel léčit chlupaté oči. Téměř se mu objevil podivný nádor v jeho oku ihned po narození, ale ve věku 19 let se výrazně zvýšila v roce 2005 o velikosti (do 0,6 cm) a zabránila tomu, aby byla víčka navíc uzavřena ztuhlé vlasy začaly růst. Lékaři odstranili nádor a zjistili, že toto je limbální dermoid – obvykle velmi vzácný benigní vzdělání. Podle lékařů v tom případě pokud mladý muž pokračoval v tažení léky, jeho otok mohl nejen pěstovat vlasy, ale také se začal potit: postupem času u novotvarů se často objevují odpovídající žlázy.
Čas
