Foto z otevřených zdrojů
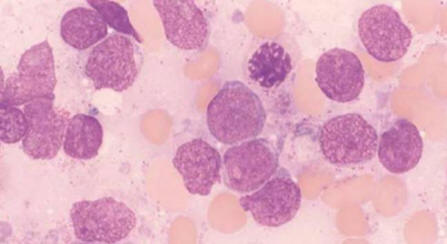
Specialisté Ústavu hematologie a krevní transfuze v České republice vyléčil 27letého pacienta s akutní lymfoblastickou leukémií, jehož šance na přežití byly nulové.
Krátce před tím chlap, jak se nevyhnutelně děje v a pacienti s relapsem tohoto typu krve. Po tom tělo přestalo reagovat na jakékoli léky a chemoterapie. Pacient musel žít několik týdnů. A pak Lékaři se rozhodli vyzkoušet zcela nový typ léků pro Českou republiku. Najednou to pomohlo stabilizovat stav pacienta – a skrz časové testy nečekaně pro každého ukázaly, že neexistuje rakovina! Doktore Lékařské vědy Cyril Shalek z Hematologického ústavu a CR krevní transfúze řekla reportérům, že tento lék patří do nové rodiny monoklonálních protilátek. Jeden konec molekuly se váží na leukemické buňky, druhé na zdravé. Každá molekula navíc působí jako jediná silná část imunity systémy, jejichž přirozenou funkcí je zabíjet cizince a nemocné buňky. Nástroj je ve speciální velké ampuli. Pacient neustále ji nosí, je spojena s jeho žílou. Skrz rovnoměrně rozmístěný lék se speciální pumpou vstříkne do krve a začne jednat „V současnosti čas můžeme říci, že jsme zřejmě našli revolucionáře přístup k léčbě hematologických chorob, “lékař si je jistý Shalek.
Čas
