Fotografie z otevřených zdrojů
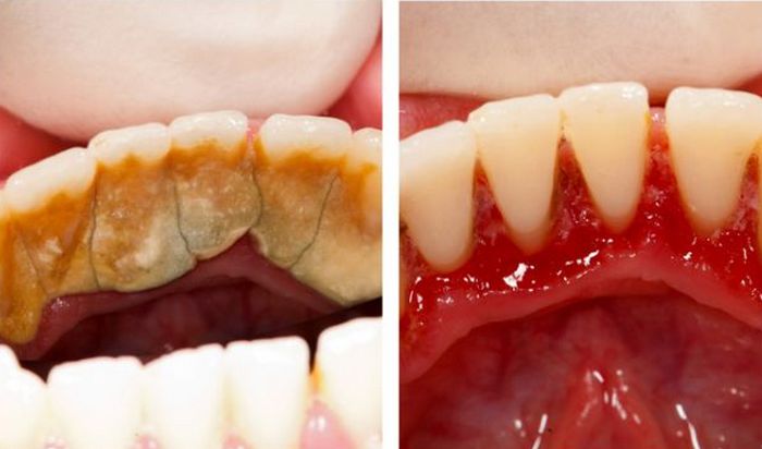
Bude to především o tartaru, který potřebujete nezapomeňte odstranit, jinak, dříve či později, vás čeká parodontitida, a tam, a na vážnější problémy – jeden krok. Nicméně jděte na zubař nechce. A to vše je drahé!
Naštěstí existuje poměrně jednoduchý lidový recept Pomáhá rychle a snadno se zbavit bolesti zubů. A v budoucnu vám tento nástroj umožní zapomenout na zubní kámen navždy, stejně jako další problémy s ústní dutinou.
Vezměte tedy čtyřicet gramů skořápek ořechu, zalijte je se sklenicí vody (200 mililitrů) a vše pomalu vařte střílet dvacet minut. Ve výsledném vývaru (když se ochladí) namočte si zubní kartáček asi deset minut (lépe více než méně). Pak s tímto štětcem, bez past a dalších Pečlivě si čistíme zuby.
Foto z otevřených zdrojů
Procedura by se měla provádět třikrát denně, pokud ošetřujeme zubního lékaře kámen. Za pár týdnů zůstanou z nemoci jen vzpomínky (samozřejmě, vše záleží na zanedbávání samotné choroby). V každém případ čistěte třikrát denně, dokud zubní kámen nezmizí úplně.
Pak můžete jít do preventivního režimu – vyčistit si zuby ořechový vývar jednou denně. Tento lék hodně pomáhá. léčí pouze zubní kámen, ale také obecně čistí ústní dutinu dásně, udržuje zuby silné a zdravé až do hloubky stáří.
Ale co zubní pasty? Pamatujte, co jste udělali všem Podobná nákaza profesora Preobrazhenského v Dog’s Heart Michail Bulgakov – v jejich kamnech, v kamnech!
Poté si zubní pastu vyrobíme sami. V malém sklenici, například z hořčice, usneme tři polévkové lžíce jedlé sody (již není potřeba, pasta by měla být neustále čerstvá), přidejte tam pár kapek citronové šťávy a zředit na kaši peroxid vodíku – všechno, skvělé těstoviny jsou připraveny! Jen ne přeháněj to, když si čistíš zuby, je to pořád soda – brusný materiál, lépe s prstem, zvlášť s prstem zatímco masíruje dásně. A vyčistěte si zuby konec, po namočení do ořechového vývaru. A ať vaše zuby budou vždy zdravé – bílé a krásné!
Kameny
