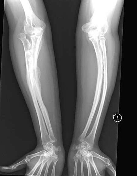
Žena se zvýšenou křehkostí kostí dokázala šťastně vyjít oženit se. Anastasia Marukova, která byla diagnostikována jako dítě „nedokonalá osteogeneze,“ přežila mnoho problémů. Ona je zlomil kosti 40krát. Otec nemohl vydržet život s vážně nemocným dcera a nechala je brzy se svou matkou. Ale Anastasia měla štěstí manžel – milovaný ji doprovodil všude, protože nedbalý hnutí jí slibuje nový zlom.
Fotografie z otevřených zdrojů
0
Like this post? Please share to your friends:
Related articles
Foto z otevřených zdrojů Jak si myslíte, že vynálezce vypadá? Dospělý muž mít vysokoškolské
Foto z otevřených zdrojů Mao Zedong, první vůdce Čínské lidové republiky, Předseda Mao, „je
Foto z otevřených zdrojů Jak dlouho může člověk žít? Mediální zprávy 100letých nikdo není
Foto z otevřených zdrojů Uvádí se existence velmi vysokých mužů na Zemi starověké legendy
Foto z otevřených zdrojů Je schopen číst myšlenky kterékoli osoby a hádat své tajné
Foto z otevřených zdrojů Děti, které mluví o tragické smrti v minulosti životy často
