Foto z otevřených zdrojů
Dívka z čínské provincie Šan-tung žila, aby jí bylo 24 let s vědomím, že od narození zmizela významná část mozku, a je to mozeček.
Takový objev byl proveden pouze při návštěvě lékaři si stěžují na nevolnost a závratě. Řekla lékaři, kteří mají problémy se životem chůze. Její matka oznámila, že její dcera mohla jít jen v sedm let a mluvení začalo ve věku šesti let.
Normální mozková tomografie, mozeček v červené barvě
Foto z otevřených zdrojů
Po tomografii lékaři okamžitě identifikovali zdroj problému – jeho mozeček chyběl. Prostor, kde by měl být prázdný. Tohle oblast mozku byla naplněna mozkomíšním mokem, poskytuje ochrana proti nemoci. Mozeček zabírá asi 10 procent celkový objem mozku, ale obsahuje 50 procent neuronů.
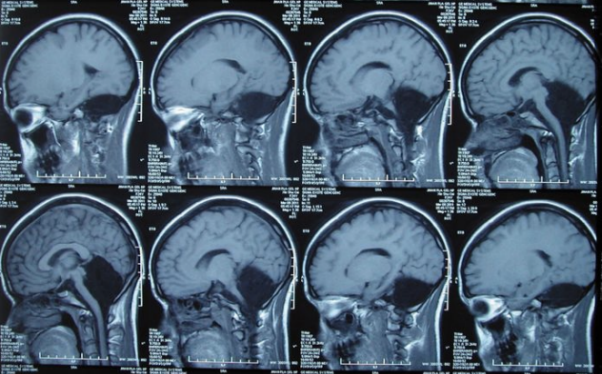
Zobrazování mozku čínské ženy bez mozečku
Foto z otevřených zdrojů
Žena se připojí k „elitnímu“ klubu devíti lidí, kteří žili bez této autority. Podrobný popis tohoto neexistuje žádná nemoc, protože všichni lidé zemřeli v mladém věku a problém byl zjištěn pouze při pitvě.
Cerebelární problémy mohou vést k vážným duševním problémům zaostalost, poruchy pohybu, epilepsie nebo potenciálně smrtící nahromadění tekutiny v mozku. Nicméně, na pro tuto ženu vedl nedostatek mozečku pouze k mírnému nedostatku pohyb a mírné problémy s řeči, jako je například mírně zamlžené výslovnost.
Lékaři popisují tyto účinky jako „méně, než by mohli být očekávat, “a říkají, že její případ podtrhuje úžasné plasticita mozku.
Život
