Foto z otevřených zdrojů
Fabella je drobná kost v koleni před sto lety to bylo považováno za ohrožené během evoluce základní tělo. V poslední době se však stala setkáváme se stále více mezi obyvateli naší planety.
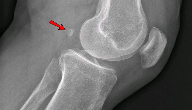
Pokud v roce 1918 mělo jen 11% pozemšťanů v jednom z nich fabella noha, dnes je přítomna u 39% lidí. Tento sezamový tvar kost roste v tloušťce šlach za kolenem a anatomicky se podobá mikroskopické patelle.
Lékaři stále nedokážou zjistit, proč tento základ se vrací do lidského těla a proč je to nutné. První lékaři si mysleli, že Fabella je jen neškodný, zbytečný orgán, odborníci však nyní dospěli k závěru, že její přítomnost v koleni může způsobit osteoartrózu. Byli tam dokonce i lékaři kdo doporučil každému, kdo má fabella, aby ji odstranil chirurgicky tak, aby ve stáří netrpěl deformací osteoartritida.
To je předpokládal, že fabella šel k osobě od opic, u kterých zvýšila mechanickou účinnost kolenní klouby. Člověk, říkají, se vyvinul a začal ztrácet dané kosti. Přesto v posledních desetiletích více lidé začali trpět nadváhou v důsledku mastné stravy a špatný životní styl. Tlak na kolenní klouby a právě to údajně vede ke vzniku „ztracených“ sesamoidní kost.
Foto z otevřených zdrojů
Dnes každá biologická učebnice naznačuje, že lidská kostra sestává z 206 kostí. V budoucnu však možná taková data uznáno za zastaralé a budou hovořit o 206-208 kostech, protože mnoho lidí už má jednu nebo obě bajky. Tohle kost, kterou mnozí lékaři považují, lze nazvat dodatkem kostra, “protože to je nejen k ničemu, ale může také sloužit způsobit zdravotní potíže. V kontaktu s kolenní chrupavkou, vede k těžké osteoartróze.
Dnes však vědci stále více docházejí k závěru, že v roce 2007 lidské tělo není nic nadbytečného a stejný dodatek nebo V žádném případě by se mandle neměly odstraňovat, pokud to není nezbytně nutné. Je možné, že uběhne nějaký čas a skutečný účel fabella, stejně jako dodatek, bude pochopena, stejně jako důvody, proč tomu tak je “extra kost” v koleni se vrací k osobě během jeho další vývoj …
Časová evoluce
