Fotografie z otevřených zdroje
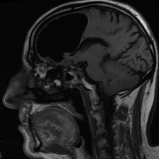
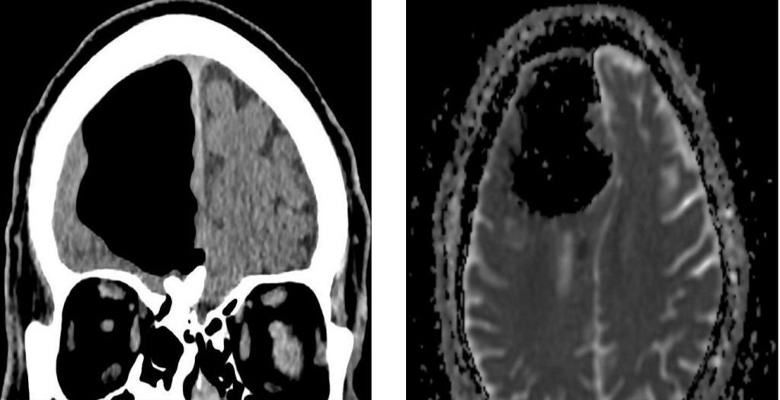
Lékaři ze Severního Irska byli při vyšetřování ohromeni v poslední době 84-letý pacient, který k nim přišel s malátností. Po provedení magnetické rezonance na hlavě muže, lékaři nečekaně zjistil, že mu chybí část pravého frontálu laloky mozku. Místo toho v lebce důchodce byl vzduch kapsa. Pak lékaři určili, že skutečný fragment mozku pacient nikam nezmizel, ale byl smíchán ve směru této abnormální dutina.
Foto z otevřených zdrojů
Personál nemocnice navrhl, že pacient se chová obtížně operace odstranění vzduchové kapsy, ale muž odmítl z chirurgie. Podle důchodce, pro jeho věk, obvykle se cítí velmi dobře a ne má v úmyslu ohrozit svůj život tím, že leží pod skalpelem. Do naštěstí brzy Irův blahobyt zmizel a v současnosti ve chvíli, kdy nepociťuje žádné nepohodlí spojené jejich neobvyklý zdravotní stav.
Je třeba poznamenat, že abnormality s mozkem a dokonce i absence takový je ve světě, nicméně, lidé s takovými odchylkami žít normální život bez pocitu pohodlí. Oni dokonce umí normálně myslet bez mozku (přečtěte si na našich webových stránkách rozsáhlý článek na toto téma), proč můžeme uzavřít: hodně, čím je člověk obdarován, řekněme, jeho jedinečné schopnosti, paměť, konečně je mimo fyzické tělo, což dokazuje například východní moudrost a esoterické poznání. Proto je tomu tak s Irem pouze dodatečné potvrzení toho, i když překvapivé on je materialistický lékař daleko od nehody …
Život
